Repository logo
  • English
  • Deutsch
  • Español
  • Français
  • Log In
    New user? Click here to register.Have you forgotten your password?
Repository logo
  • Communities & Collections
  • Research Outputs
  • Fundings & Projects
  • People
  • Statistics
  • English
  • Deutsch
  • Español
  • Français
  • Log In
    New user? Click here to register.Have you forgotten your password?
  1. Home
  2. CRIS
  3. Publication
  4. Cryoagglutinin autoimmune hemolytic anemia secondary to Mycoplasma pneumoniae infection in patient with pernicious anemia: A case report
 
  • Details
Options

Cryoagglutinin autoimmune hemolytic anemia secondary to Mycoplasma pneumoniae infection in patient with pernicious anemia: A case report

Journal
Medwave
ISSN
0717-6384
Date Issued
2025-09-17
Author(s)
Leslie Gricel Cuzco Macias
Ashley Carolina Cuzco Macias
Daniel Simancas-Racines
PARISE VASCO, JUAN MARCOS  
Facultad de Ciencias de la Salud Eugenio Espejo  
DOI
http://doi.org/10.5867/medwave.2025.08.3039
Abstract
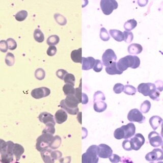
This report describes the rare case of a patient with autoimmune hemolytic anemia due to cryoagglutinins secondary to Mycoplasma pneumoniae infection, coexisting with pernicious anemia. A 56-year-old man presented with a ten-day history of cough and mucocutaneous pallor. Laboratory studies revealed megaloblastic anemia with low vitamin B12 levels, positive antibodies against intrinsic factor and parietal cells, as well as hemolysis parameters and a positive direct Coombs test for complement (C3d) with cryoagglutinins active at low temperatures. M. pneumoniae infection was confirmed by indirect immunofluorescence for IgM and IgG.

Intramuscular B complex supplementation and doxycycline were administered for 14 days, improving hemoglobin and other hematological parameters within four weeks. This case highlights the diagnostic complexity in patients with rare hemolytic anemias in the context of atypical infections and underscores the importance of a multidisciplinary approach for their diagnosis and appropriate treatment.

The coexistence of cryoagglutinin-mediated autoimmune hemolytic anemia and pernicious anemia poses diagnostic and therapeutic challenges that are relevant to clinical practice.
Subjects

Autoimmune hemolytic ...

case report

Mycoplasma pneumoniae...

pernicious anemia

  • Cookie settings
  • Privacy policy
  • End User Agreement
  • Send Feedback

Hosting & Support by

Built with DSpace-CRIS software - Extension maintained and optimized by 4Science